Protocollo di Produzione
PROTESI MOBILE/SCHELETRICA

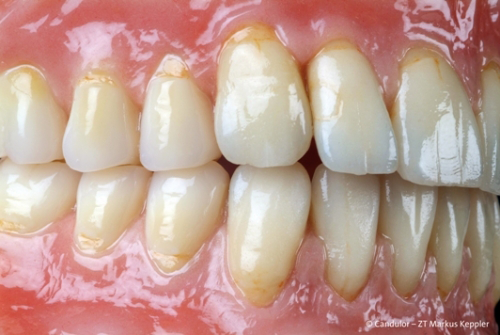
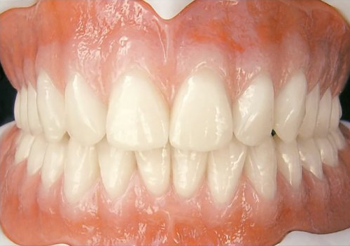
Per protesi mobile/scheletrica intendiamo tutte le protesi atte alla sostituzione di intere arcate o parti di essa. Sono definite mobili in quanto possono essere rimosse facilmente dal paziente durante l'arco della giornata.
Queste protesi vengono realizzate con materiali e attrezzature di nuova generazione sfruttando al meglio quanto di più innovativo offre il mercato per questo genere di restauri nel rispetto dei requisiti cardine dell' odontoiatria:

FUNZIONALITA’ RESISTENZA INNOCUITA’ ESTETICA